임신 16주차 안정기 진입!2차 기형아검사 / 성별힌트?
💖 안정기 진입! 16주차 증상 기록 & 2차 기형아 검사(쿼드/통합) 리얼 후기! (feat. 드디어 성별 힌트?)
안녕하세요, 드디어 임신 중 가장 평화롭다는 '임신 안정기(4~7개월)'에 진입한 예비맘, 또리맘입니다! 🥳 16주차가 되니, 지난 몇 달간 저를 괴롭히던 입덧이라는 무서운 손님은 완전히 떠나고, 이제야 비로소 '임신 라이프'를 즐기는 기분이에요.
이번 포스팅에서는 안정기 진입 후의 몸 상태 변화와 함께, 많은 분들이 긴장하는 '2차 기형아 검사(쿼드 또는 통합 검사)'를 받기 위해 병원을 다녀온 생생한 후기와 검사 과정을 상세히 기록해 보려고 합니다! 😊
🏥 1. 병원 방문! 2차 기형아 검사를 받다 (16주 3일차)
저는 딱 16주 3일차 되는 날, 2차 기형아 검사를 위해 병원을 방문했어요. 저희 병원에서는 1차(피 검사)와 2차(피 검사) 결과를 합쳐서 최종 위험도를 분석하는 '통합 선별 검사' 방식으로 진행된다고 하더라고요.
① 검사 전 과정: 간단하고 빠르게!
- 준비 사항: 특별히 금식이나 준비할 것은 없었습니다. (담당 간호사님께 다시 한번 확인했어요!)
- 검사 내용: 의사 선생님과의 간단한 상담 후, 바로 채혈실로 이동해서 피를 뽑았습니다.
📋 Tip: 2차 검사는 쿼드(4가지 호르몬) 또는 트리플(3가지 호르몬) 방식이 있는데, 저희 병원처럼 1차와 합쳐 통합 검사를 하는 경우 정확도가 더 높다고 하니, 병원에 문의해서 어떤 방식인지 미리 확인해 보세요!
- 소요 시간: 채혈은 정말 5분도 안 걸렸어요. 결과는 약 7~10일 후에 문자로 알려주시거나 다음 진료 시 확인할 수 있다고 하셨습니다. (이 기간이 제일 긴장되죠!)
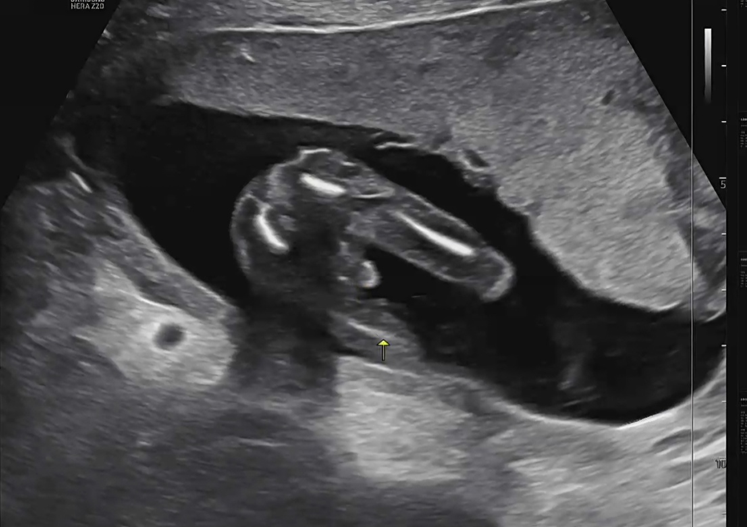
② 초음파 시간: 또리의 폭풍 성장과 성별 힌트! 📢
검사 후에는 또리의 상태를 확인하는 정기 초음파 시간이 이어졌어요.
- 📏 아기의 성장: 12주차 때 젤리곰 같던 또리가 이제는 제법 사람 형태를 갖추고 있었어요! 키는 벌써 12cm에 몸무게는 100g을 훌쩍 넘겼다고 하시네요. 선생님께서 "이제 양수 속에서 수영도 하고, 손으로 발을 만지작거리기도 해요!"라고 설명해 주시는데, 그 모습이 너무 신기해서 눈물이 핑 돌았답니다.
- 👣 힘찬 움직임: 안정기 접어들면서 엄마는 아직 미세하지만, 초음파로 보니 또리는 팔다리를 아주 힘차게 움직이며 놀고 있더라고요! 건강하게 잘 자라주는 모습에 감사했어요.
- 📢 대망의 성별 힌트! : 16주차는 보통 성별을 90% 이상 예측할 수 있는 시기이죠. 선생님께서 초음파 화면을 보여주시며 조심스럽게 '다리사이에 뭐가 보이죠??'라고 하시네요.. (딸을 원했던 아빠는 살며시 눈물을 감추는...ㅎㅎ) 제 2의 여자친구 만들어주기 싫었는데.. 쌤통이다 !!ㅋㅋㅋㅋㅋㅋㅋ

💖 2. 임신 16주차의 몸 상태, 이렇게 달라졌어요!
입덧이 끝나니 몸이 가볍고 살 것 같지만, 또 다른 변화들이 찾아왔습니다. 16주차의 리얼 증상 변화입니다.
| 몸의 변화 | 상세 기록 | 엄마의 대응 & 관리법 |
|---|---|---|
| 식욕 폭발 | 🍕🍔🍟 12주까지 못 먹었던 한을 풀듯, 갑자기 모든 음식이 맛있어져요. '먹덧'의 시작입니다. | 체중 조절 비상! 공복에 물이나 우유를 마시고, 식사 후에는 30분씩 가볍게 산책하려고 노력 중입니다. |
| 아랫배 통증 (자궁 확장통) | 콕콕 쑤시거나 뭉치는 듯한 느낌이 가끔 들어요. 아기가 커지면서 자궁이 늘어나는 자연스러운 현상입니다. | 통증이 심할 때는 잠시 누워서 휴식을 취하고, 따뜻한 물을 마셔주면 도움이 됩니다. |
| 태동의 신호 | 아직 명확한 발차기는 아니지만, 배 속에서 가스가 도는 듯한 느낌, 혹은 미세한 톡톡거림이 가끔 느껴져요. | 매일 밤 배를 쓰다듬으며 "또리야, 엄마 여기 있어"라고 말하며 태동을 기다리고 있어요! |
| 피부 가려움 & 건조 | 배와 가슴 쪽이 건조해지고 가렵기 시작했어요. 튼살의 신호일 수 있습니다. | 튼살 크림을 아침, 저녁 하루 두 번 충분히 발라주고, 샤워 후 물기가 마르기 전에 보습 오일로 마사지하고 있습니다. |
📝 3. 2차 검사 결과 기다리기: 가장 중요한 태교!
이제는 결과를 기다리는 일만 남았습니다. 고위험군 진단을 받는다고 해도 너무 절망하지 않기로 다짐했어요.
- 검사 결과의 의미: 쿼드 검사는 **'위험도'**를 알려주는 선별 검사일 뿐, 확진 검사가 아니라는 점을 꼭 기억해야 합니다.
- 고위험군 시 대처: 만약 고위험군이 나온다면, 담당 선생님과 상의하여 **NIPT(비침습적 산전 검사)**나 **양수 검사** 등 정확한 확진 검사를 진행할 계획입니다. (물론 저위험군이 나오기를 간절히 기도하고 있습니다! 🙏)
✨ 또리맘의 다짐: 결과에 대한 걱정보다는, 지금 이 평화로운 안정기를 만끽하며 **엄마의 행복한 감정을 또리에게 전달하는 것**이 가장 중요하다고 생각합니다. 매일 동화책을 읽어주고, 아빠가 배에 대고 태담을 해주는 것이 요즘 저희 가족의 가장 중요한 태교입니다.
🗣️ 마무리하며: 다음 진료를 기대하며!
16주차는 정말 임신 생활의 '황금기'가 아닐 수 없습니다. 입덧에서 해방되고, 배도 적당히 불러와 임산부의 아름다움을 만끽할 수 있는 시기이죠!
다음 진료 때는 성별을 더 확실하게 확인하고, 아기의 입체적인 모습도 볼 수 있기를 기대하고 있습니다.
건강한 아기와의 만남을 위해, 이 황금기를 놓치지 않고 태교와 운동, 그리고 건강한 식단 관리에 집중하려고 합니다! 예비맘님들도 16주차 안정기, 행복하게 보내세요! 💪